現在LINEに不具合が起きております。クリニックにお問い合わせがある場合は、メールフォームもしくはお電話でお問い合わせください。
東京で短期集中無痛歯科治療をお考えの方へ
短期集中治療・審美・インプラントに特化完全自由診療の歯科クリニック
オーラルプロポーションクリニック
眠っている間に終る治療
&
短期集中治療
歯の治療は痛みや苦痛が伴うものが多いですよね。
それを考えると歯科医院に行くのをためらってしまうこともあると思います。
悩んでいるうちに症状はどんどん悪化してしまいます。
なるべく早く治療に取り掛かれるよう、治療の苦痛を取り除き、楽に治療をお受け頂けるか。
そのために当院では局所麻酔だけでなく点滴麻酔をご提供しています。
点滴麻酔(静脈内鎮静法)や全身麻酔による眠っている間に治療を行えるので、ボロボロの歯で辛い思いをしていらっしゃる方から、歯科恐怖症・嘔吐反射などによって歯科に通うことができない方まで、リラックスして治療をお受け頂けます。
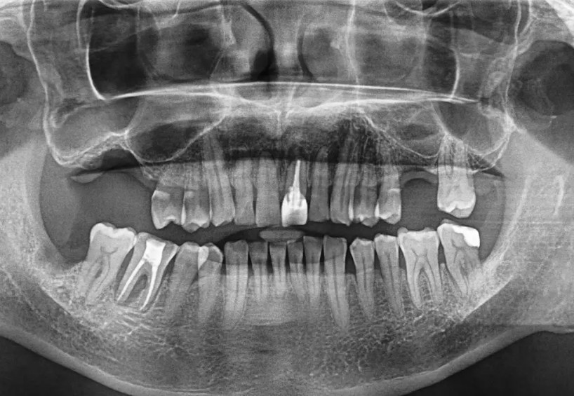
虫歯1本から全体的な治療まで
眠っている間に
一気に治療を行います
点滴麻酔・全身麻酔で無痛歯科治療
腕から行う点滴麻酔(静脈内鎮静法)や全身麻酔といった、通常の歯科医院で歯肉に行う局所麻酔とは別の麻酔方法を用いて歯の治療を行っていきます。
眠っているような状態の中で治療を行うため、痛みや不快感、音や匂いにお悩みになることなく治療を終えることができます。
また、麻酔には健忘作用もあるので、数時間の治療もあっという間に終わったように感じられます。
虫歯治療から親知らずの複数同時抜歯、インプラント治療まで。全体的な治療もリラックスしてお受け頂けます。
ライフスタイルに合わせた
短期間の治療計画を
ご提案いたします
最短1日からの短期集中治療
忙しくて歯医者に通う時間がない、遠方なので東京に何日も滞在できない、海外赴任が決まっていて期間がない、一時帰国中に治療したいなど、通院が難しく歯科治療を諦めていらっしやる方の為に、期限に合わせて最短の治療計画をご提案いたします。
一回の治療時間を1~8時間程度確保することができるので、治療内容は変えることなく、1日で一気に進めることで通院回数を少なくします。
長時間の治療は患者様にとってご負担になりますが、点滴麻酔(静脈内鎮静法)・全身麻酔を用いることにより、数時間の治療もあっという間に終わったように感じられます。

初めての患者様へ
当院での治療の進め方
完全予約制・自費診療
当院は完全予約制・自費診療で診療を行っております。
患者様お一人お一人にとって最善の治療をご提供し、患者様のご希望に沿ったゴールを目指していきたいと思っております。
お気軽にご相談ください。
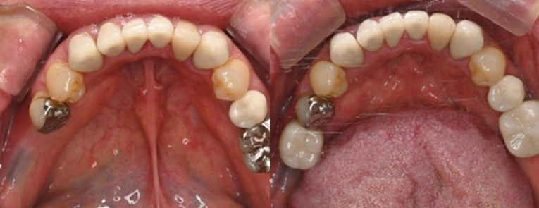
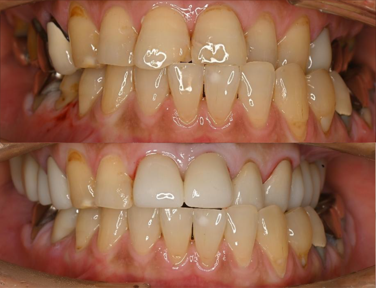
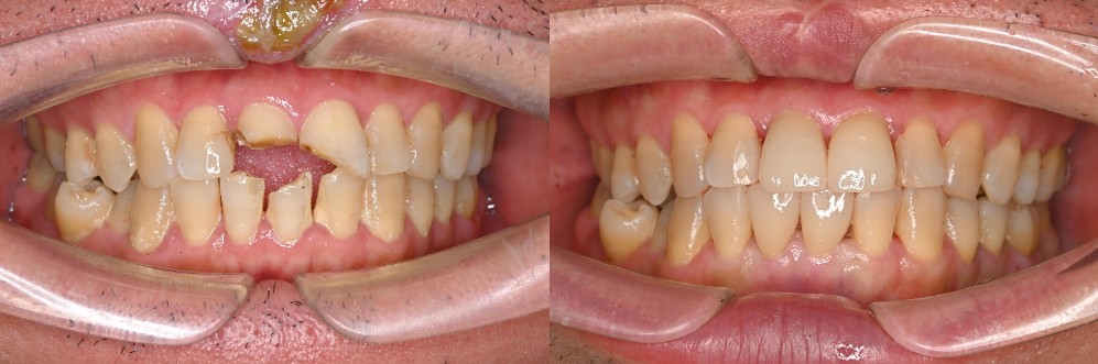
症例&コラム


歯医者が怖い、苦手に思っている全ての方の為に、静脈内鎮静法・全身麻酔での治療を行っています。
眠っているような状態の中で治療を行うので、痛みや不快感へのご心配なく治療をお受け頂けます。
また、忙しく何度も歯科に通院しているお時間のない方の為に、治療内容は変えずに通院回数を少なくする短期集中治療も行っています。
虫歯一本から親知らず4本同時抜歯、インプラントや全体的な治療が必要な場合まで、どんな治療にも対応しております。
患者様お一人おひとりのライフスタイルに添った治療を心がけています。
お気軽にご相談ください。