症例&コラム
インプラント埋入位置を精密にコントロールした前歯部審美インプラント症例について
インプラント埋入位置を精密にコントロールした前歯部審美インプラント症例
- 主訴
-
- 前歯が欠けた
- 他院でインプラントはかみ合わせ的に難しいと言われた。インプラントしてほしい。
- 埋入位置のコントロールして治療方法を提案
- 通院期間・回数
- 通院期間4か月、回数4回
- 治療内容
- インプラント治療のみ
- 治療のメリット・デメリット
-
- メリット:他の歯を削らないので歯の寿命を縮めない。
- デメリット:歯肉が下がると金属色が見える。
「前歯が欠けてしまった」というトラブルは、見た目の問題だけでなく、咬み合わせや発音、食事のしやすさにも影響を与えます。
今回の患者さんは、他院で「かみ合わせの関係でインプラントは難しい」と説明を受け、不安を抱えながら当院にご相談くださいました。
当院では、CT画像とデジタルシミュレーションを活用して、咬み合わせと骨の状態を総合的に分析し、理想的な位置にインプラントを埋入することで、見た目も機能も両立した結果を得ることができました。
「前歯が折れてしまって、人前で話すのも笑うのも恥ずかしいんです。自然に見えるインプラントで治したいです。」
見た目の回復だけでなく、「しっかり咬めるようになりたい」「自分の歯のように自然に戻したい」という強いお気持ちがありました。 医療的には「上顎前歯部破折による欠損補綴希望(インプラントによる審美・機能回復希望)」と整理できます。現病歴
数年前から前歯に小さなヒビがあり、特に硬いものを噛んだ際に「パキッ」と音がして歯が折れたとのことでした。その後、見た目の違和感と発音のしづらさが気になり始め、他院を受診したところ「かみ合わせが強く、前歯部へのインプラントはリスクが高い」と言われたそうです。
「でも、自分の歯のように戻せる方法があるなら挑戦したい」という前向きな気持ちで、当院へセカンドオピニオンとして来院されました。
既往歴・服薬・アレルギー
特に全身的な疾患や服薬はなく、手術や麻酔にも問題のない健康状態でした。ただし、血圧が少し高めとのことで、手術中のストレスを最小限にするため、リラックス法や局所麻酔の工夫を行いました。
このように、インプラント手術では「全身の状態の安定」もとても重要です。
歯科既往・メインテナンス履歴・歯科恐怖の有無
これまで虫歯や歯石除去などで数回通院されたことはあったものの、定期的なメインテナンスの習慣はなかったとのこと。「前歯が欠けてから、歯の大切さを改めて感じました。これを機にきちんと通いたいです」とお話しされ、治療後のメインテナンス計画を一緒に立てることになりました。
社会歴
人前で話す機会の多いデスクワーク職で、コミュニケーションが仕事の中心。そのため、「見た目の印象」=「自信」という側面があり、前歯の欠損は心理的にも大きなストレスになっていました。
「マスクを外せない」「笑うと視線が気になる」という悩みを抱えていたそうです。
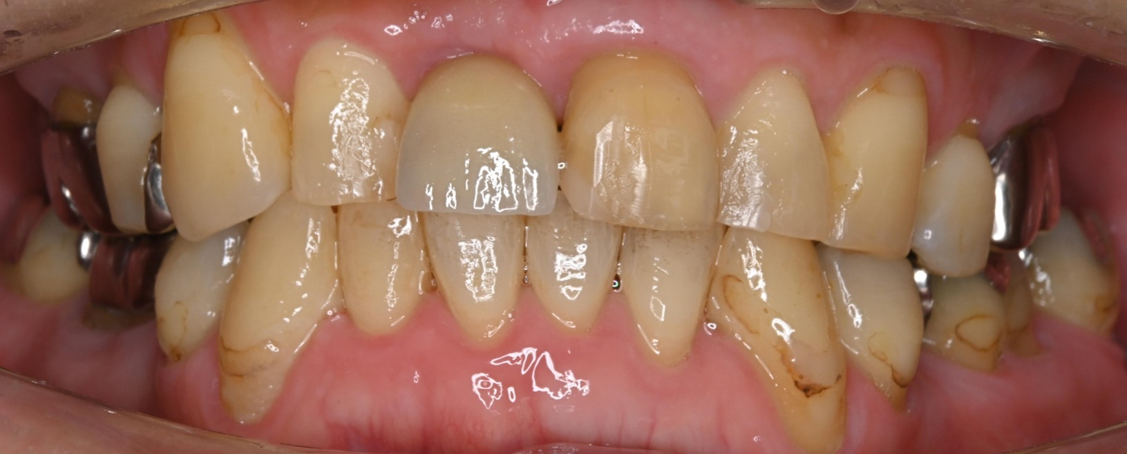
口腔内所見(視診)
前歯部の欠損以外は、軽度の歯周疾患があり、噛み合わせも深く顎の力も強いことで奥歯にもヒビがはいっていました。下の歯が上の歯に突き上げていてかみ合わせが深いことで、他院で「インプラントが難しい」と言われた要因の一つでした。
このようなケースでは、単に「歯を入れる」だけでなく、咬み合わせの力の方向と分散をしっかり考慮することが大切です。
画像所見
CT撮影して骨の厚みと高さを3Dで確認したところ、インプラント埋入に必要な骨量は少なくインプラント治療の難易度は高かった。そのままインプラントを埋入すると被せ物の位置が前方に出てしまうリスクがあり、デジタルガイドを用いたシミュレーションで、角度・深さ・方向をミリ単位で設計し、見た目と埋入位置を診断しました。
初期評価
診断名:上顎中切歯歯根破折(審美領域インプラント適応)骨幅が少なくスプレットクレストを併用し埋入によるインプラント治療を選択しました。
説明と同意のプロセス
当院ではまず、「インプラント」「ブリッジ」「部分入れ歯」の3つの治療方法をイラストを用いてご説明しました。それぞれのメリット・デメリットを比較した上で、患者さんは「周りの歯を削らず、自然に見えるインプラント」を希望されました。
治療費や通院期間、手術の流れ、想定されるリスク(歯ぐき退縮や金属露出など)についても時間をかけてご説明し、すべて納得された上で同意書をいただきました。
「安心して任せられそうです」と笑顔でおっしゃっていただいたのが印象的でした。
治療方針の概要
プレミアムインプラントプランを採用(精密ガイド埋入・セラミック冠仕上げ)骨・歯ぐき・咬み合わせを3Dシミュレーションで事前設計
審美性と清掃性を両立した補綴デザイン
メリット: 他の歯を一切削らずに済み、将来的に周囲の歯の寿命を守ることができます。
デメリット: 歯ぐきが下がると、土台の金属色が見えることがあり、長期的なメインテナンスが重要です。
経過(タイムライン形式推奨)
初診(5月)
精密検査・CT撮影・デジタルシミュレーション
骨の厚みと角度を3Dで確認
2回目
インプラント埋入手術(局所麻酔下)
ガイドサージェリーによる正確な埋入
3回目(2か月後)
仮歯装着・咬み合わせ調整
審美性と発音確認
4回目(4か月後)
セラミック冠装着・最終調整
自然な透明感と色調を再現
治療予後
最終補綴後、「鏡を見るたびにうれしくなります」「自然すぎて、家族にもどれがインプラントかわからないと言われました」と笑顔で話してくださいました。職場でも「表情が明るくなったね」と声をかけられることが増えたそうです。
咬み合わせも安定しており、発音や食事も問題なく行えています。
まとめ
前歯部のインプラント治療では、見た目(審美性)・咬み合わせ(機能)・歯ぐき(軟組織の安定)の3つの要素をバランス良く整えることが求められます。本症例では、事前のCT分析と埋入ガイドを用いた精密手術により、リスクの高い「前歯部インプラント」でも安定した結果が得られました。
「他院で難しいと言われたケース」でも、適切な診断による治療計画で治療をおこなうことで患者さんに喜ばれる治療がおこなえたことは喜ばしいことであった。
倫理・個人情報への配慮
掲載にあたっては、患者さんの同意を得ており、個人を特定できる情報(氏名・顔貌・職業など)はすべて匿名化しています。参考
https://pubmed.ncbi.nlm.nih.gov/15635945日本口腔インプラント学会ガイドライン(2024年改訂)
Misch CE. Contemporary Implant Dentistry, Mosby, 2020.
日本補綴歯科学会「審美領域インプラントにおけるリスクマネジメント」報告書(2023)
【監修】歯科医師 渥美憲人
補綴認定医
患者様の口腔内全体を考えた全顎的な治療をご提供しています。