症例&コラム
専門性の高い審美補綴(セラミック)による即時審美回復症例について
専門性の高い審美補綴(セラミック)による即時審美回復症例
- 主訴
-
-
転んで前歯を打って歯が折れたので一度に早く治してほしい。
専門性の高い先生希望でほかの先生から紹介 - 審美治療
- それを受けての治療提案内容(治療意図等)
- 短期集中治療で審美補綴治療(セラミック)
-
転んで前歯を打って歯が折れたので一度に早く治してほしい。
- 通院期間・回数
-
- 回数3回
- 治療内容
-
- 歯周病治療
11、21、31、41セラミック
50万円
- 歯周病治療
- 治療のメリット・デメリット
-
- メリット:短期集中治療で早期に審美回復、専門性の高い治療で歯を多く削らないで治療
- デメリット:かぶせ物が取れる可能性

転倒などによる前歯の破折は、見た目の損傷だけでなく、「人前に出られない」「仕事に支障が出る」といった心理的ダメージも伴います。
特に前歯は、話す・笑う・食べるという日常動作すべてに関わる重要な部位。
「できるだけ早く自然に戻したい」というのは、多くの患者さんに共通する願いです。
今回の患者さんは、他院の先生から「審美補綴を専門にしている医院」として当院を紹介されました。
治療の主軸は短期集中治療での審美補綴(オールセラミッククラウン)。
歯ぐきの炎症を整えながら、3回の通院で“自然な笑顔”を取り戻した症例です。
「転んで前歯が折れてしまいました。早く治したいし、見た目にもきれいにしてほしいです。 他の先生に“ここなら専門的にやってもらえる”と紹介されました。」
患者さんは、突然の外傷で動揺しておられました。折れた前歯の違和感だけでなく、「人に見られたくない」という強い心理的ストレスもあり、仕事を休むことすら考えていたとのことでした。
最初の診察では、まず「今ある歯をできるだけ残す」ことを伝え、安心感を持ってもらうところから始まりました。
現病歴
外出中に転倒し、顔を地面にぶつけて前歯を破折。破折片は持参されておらず、応急処置で他院を受診。
その際「神経は残せるが、最終的には被せ物が必要」と説明を受け、より専門的な審美治療を希望され、紹介を受けて当院に来院されました。
初診時には歯ぐきの腫れと軽度出血があり、歯の一部にヒビ(亀裂)も確認されました。
幸い歯根破折はなく、歯の保存が可能な状態。
「早く見た目を整えたい」という要望に応えるため、短期集中治療を提案しました。
既往歴・服薬・アレルギー
全身的な疾患や服薬歴はなく、金属・薬剤アレルギーも認められませんでした。麻酔に対する反応も問題なく、外科的介入や補綴治療を安全に行える状態でした。
外傷の影響で歯肉に軽い炎症が見られたため、初期治療として歯周組織の安定化を行う計画を立てました。
歯科既往・メインテナンス履歴・歯科恐怖の有無
以前は定期的な歯石除去などを受けていたものの、ここ数年は忙しさからメインテナンスを中断していたとのこと。今回の外傷をきっかけに、「これからは予防も含めて定期的に診てもらいたい」と意識が変化されていました。
社会歴
40代男性。営業職で、顧客との対面対応が多い立場。「笑顔で話すことが仕事の一部」というほど、人前での印象を大切にされていました。
そのため、「前歯が折れたままでは自信を持って話せない」と強い焦りを感じておられました。
また、出張が多いため「できるだけ短期間・少ない通院回数で仕上げたい」というニーズもありました。
口腔内所見(視診)
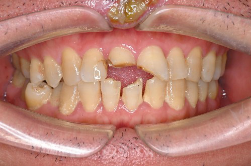
上顎右中切歯(11)の破折は歯冠の1/3程度。左中切歯(21)にも微細な亀裂が認められました。
歯ぐき(歯肉)には軽い炎症と腫脹があり、外傷直後による一時的な歯肉損傷が考えられました。
また、下顎中切歯(31・41)には咬耗(すり減り)があり、上下前歯の咬合バランスにも偏りがみられました。
このため、咬合力の分散を考慮した補綴設計が必要でした。
画像所見
デンタルX線では、歯根破折は認められず、歯髄腔は保たれていました。CBCT(歯科用CT)で歯根膜腔の連続性も確認し、保存的治療が可能と診断。
歯槽骨の吸収や骨折も見られず、支台歯としての安定性が確保されていました。
歯肉の腫脹は外傷性炎症による一過性のものと判断しました。
初期評価
診断名:外傷性上顎前歯破折(11・21)/下顎前歯咬耗(31・41)治療目標は、
1️⃣ 審美性と機能性を早期に回復すること
2️⃣ 歯周組織の炎症を安定させ、長期維持を図ること
3️⃣ 自然な色調と形態を再現し、自信を取り戻すこと
以上を踏まえ、短期集中型のオールセラミック補綴治療を選択しました。
説明と同意のプロセス
患者さんには3つの選択肢を丁寧に説明しました。| 治療法 | 概要 | メリット | デメリット |
|---|---|---|---|
| レジン仮修復 | 応急的・低コスト | 即日修復可能 | 長期安定性に欠ける |
| メタルボンドクラウン | 金属フレーム+陶材 | 強度が高い | 透明感がやや劣る |
| オールセラミッククラウン | フルセラミック構造 | 高審美・金属不使用 | コストがやや高い |
患者さんは、「自然で清潔感のある仕上がりがいい」と明言され、オールセラミックを選択。
短期間で完了できるよう、3回の集中通院計画を立てました。
治療方針の概要
| 治療内容 | 歯周治療による歯ぐきの安定化 上顎中切歯(11・21)および下顎中切歯(31・41)にオールセラミッククラウン装着 仮歯(プロビジョナル)で形態・発音・咬合を一時的に再現 |
|---|---|
| 通院回数 | 全3回 |
| 費用 | 約55万円(税込) |
メリット:専門的な手技による歯質保存、・短期間で自然な見た目を回復、金属を使わないため、経年的な変色がない
デメリット:強い衝撃でクラウンが外れる可能性、咬合管理のための定期チェックが必要
経過(タイムライン形式推奨)
1回目
初診・検査・歯周治療・仮修復
歯肉炎症の改善と見た目の応急回復
2回目
支台形成・仮歯装着・色合わせ
咬合・発音・スマイルラインを調整
3回目
最終セラミック装着・研磨
天然歯と調和する色調と光沢を再現
咬合面・歯肉ライン・発音の調整を行い、仕上がりは非常に自然でした。
治療予後
治療終了後、鏡を見た患者さんは「前よりも自然で、自信が戻った」と笑顔を見せてくださいました。審美的にも機能的にも安定しており、歯ぐきの色調も良好。
周囲の方からも「どの歯を治したのかわからない」と言われたとのことでした。
術後6か月のメンテナンスでも、適合・咬合ともに良好な状態を維持しています。
まとめ
・本症例の成功要因は、破折歯の保存を前提とした精密診断・歯周組織の安定化を先行した段階的アプローチ
・審美補綴専門技術による色調・形態再現
の3点にあります。
外傷後の審美回復には、「スピード」と「精密さ」を両立する治療計画が不可欠です。
短期集中型でも、治療プロセスを省略せずに丁寧に積み上げることで、“早くて美しい”結果を実現できます。
「歯を失うのはほんの一瞬ですが、取り戻すには技術と想いが必要です。
“早く”“正確に”“美しく”を大切に、患者様の笑顔を支え続けます。
どんなトラブルでも、焦らずご相談ください。」
倫理・個人情報への配慮
本症例は患者様の同意を得たうえで匿名化し、個人が特定される情報は一切掲載しておりません。参考
日本補綴歯科学会 審美補綴ガイドライン(2024)Fradeani M. Esthetic Rehabilitation in Fixed Prosthodontics. Quintessence, 2021.
Magne P. Bonded Porcelain Restorations in the Anterior Dentition. Quintessence, 2022.
【監修】歯科医師 渥美憲人
補綴認定医
患者様の口腔内全体を考えた全顎的な治療をご提供しています。