症例&コラム
歯科医院4件断られた全顎的な治療(インプラント・セラミック)について
歯科医院4件断られた全顎的な治療(インプラント・セラミック)
- 主訴
-
- 歯並びが悪くなって食事がしずらい。
- 食事を美味しく食べられるようになりたいし時間をかけずに専門の先生でしっかり治したい。
- 通院期間・回数
-
- 回数10回
- 治療内容
-
- サイナスリフト:330,000円
- インプラント:495,000円×5
- セラミック:132,000円×9
- 治療のメリット・デメリット
-
- メリット:骨がないと他院で断られたインプラントも可能。セラミックで噛み合わせも改善
- デメリット:自由診療なので高額になることがる

子供の頃から歯が悪くかみ合わせも悪いので子供の頃から親も医者で歯医者にはよく行ったが、中々よくならずに矯正も顎変形症のオペを行わないと難しいと言われたと来院されました。
多くの歯科医院で色々紹介してもらい悪いところを治療していったがどんどん悪くなっていったが、痛みもないのでほっておいたところ、歯並びが悪くなって食事がしずらくなってしまった。
他院で治そうと試みたところ、4件の歯科医院に骨が足りないのでインプラントに出来ないと断られたとお悩みでご来院されました。
患者様の状態
医科的既往歴はなく、喫煙歴は20年以上の状態でした。歯科は1年ぶりでメンテナンスは定期的に通っているとのことでした。
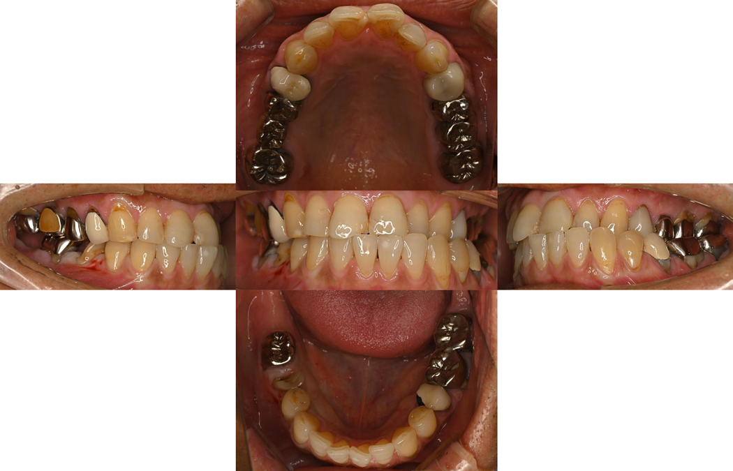
口腔内・画像所見
全顎的に保険診療の治療痕があり、咬合崩壊を起こしている常態でした。前歯部は反対咬合を認め咬合状態の難易度も高い状態でした。
画像所見からは、骨の状態は正常であることがわかりました。
下顎骨の顎角部の凹凸を認め咬合力が高いことが見受けられたたため、咬合の改善が必要だと判断できます。
また、根尖部の透過像を臼歯部に認めたため、治療が必要であることを説明しました。
初期評価
初期評価として顔貌の変形からセファロ分析を行い歯列の不正、骨格性の異常かの精査を行いました。また、口腔内の状態を把握するためIOSでの資料採取、フェイスボウと上下の概形印象も併せて行いました。
これにより客観的な診断の基準を整理し治療計画のもととしました。
治療方針の概要
治療は難易度が高く、治療の過程で不具合が起こる可能性があること、治療期間は短期では終わらない旨を説明し、ご納得いただきました。臼歯の骨が足りない部分に関しては骨造成を行うサイナスリフトを行いインプラント治療を行うこと、噛み合わせが悪い部分に関しては両側上下の咬合状態をクロスマウントで現在の状態とプロビジョナルで仮想の咬合をつくり違和感がなければセラミック治療を行い、口腔内全体のかみ合わせを改善していく形で進める旨を説明いたしました。
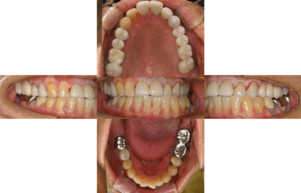
治療予後

治療終了後は、顎関節の不具合もなく、患者様も非常に満足してくださいました。
倫理・個人情報への配慮
本症例は患者様の同意を得たうえで匿名化し、個人が特定される情報は一切掲載しておりません。【監修】歯科医師 渥美憲人
補綴認定医
患者様の口腔内全体を考えた全顎的な治療をご提供しています。