症例&コラム

顎関節強直症による開口障害を、保存的機能訓練で改善した症例について

顎関節強直症による開口障害を、保存的機能訓練で改善した症例

主訴
  • 5医院程行ったが口があかず奥歯の治療ができないから抜歯と言われた。抜かないで治療したい。
  • 抜歯以外の方法を希望
  • 治療の前段階として開口訓練を提案
通院期間・回数
  • 通院期間1ヶ月 通院回数2回
治療内容
  • 顎関節強直症による開口不全に対する開口機能訓練
    初回1万円、都度1回5000円
治療のメリット・デメリット
  • メリット:口を開けられることで歯の治療方針が変わる
  • デメリット:後戻りの可能性

「奥歯の治療をしたいのに、口が開かない」――。
この言葉の裏には、単なる不便さだけでなく「自分の歯を守りたいのに治療できない」という切実な思いがあります。
今回の患者さんは、5軒の歯科医院で“抜歯しかない”と言われた方でした。
しかし、当院ではあきらめず、まず“口を開けられるようにする”ところから治療をスタート。
顎関節の機能訓練(リハビリ)を中心とした保存的アプローチで、たった1ヶ月で口の開きが約3倍に改善し、歯を残す治療計画へと切り替えることができました。

「5つの歯医者さんに行ったけど、どこでも“抜くしかない”って言われたんです。
でも私は、どうしても歯を抜きたくないんです。」

患者さんは、疲れと不安が入り混じった表情で来院されました。
「口を開けられない」「何も食べられない」「治してもらえない」――その3つの絶望感を抱えていたそうです。
医療的には、顎関節強直症(がくかんせつきょうちょくしょう)による高度な開口障害。
心理的には「誰も自分を治してくれない」という信頼の喪失がありました。

現病歴

半年前から徐々に口の開きが悪くなり、食事中に顎の違和感や「カクッ」という音が出るようになったのが最初のサインでした。
そのうち、指1本分(約10mm)ほどしか開かなくなり、歯磨きや発音、食事(特に肉やパンなど)にも支障を感じるようになったとのこと。
痛みはそれほど強くないため放置していましたが、右下奥歯が虫歯で欠けてしまい、治療を希望して受診。
しかし複数の医院で「器具が入らない」「麻酔が打てない」と説明され、最終的には「抜くしかない」と言われてしまいました。
その後、当院のホームページで「顎関節機能回復の実績」を見つけ、「最後の望み」として来院されたのが今回の経緯です。

既往歴・服薬・アレルギー

全身的には健康で、薬の常用もなし。
金属・薬剤アレルギーもありませんでした。
ただし、夜間の歯ぎしり・食いしばりの既往があり、慢性的に顎関節へ負荷がかかっていたことが推定されます。
顎関節強直症(がくかんせつきょうちょくしょう)は、外傷・感染・関節の慢性炎症などが原因で、関節が硬く動かなくなる状態です。
今回のケースは骨性癒着ではなく、線維性強直(筋や靭帯の拘縮)が主体のタイプでした。

歯科既往・メインテナンス履歴・歯科恐怖の有無

過去に虫歯治療や詰め物の経験はあるものの、ここ3年ほどは通院が途絶えていました。
顎の動きが悪くなってからは歯ブラシも十分に届かず、「奥が磨けない」「食べかすが取れない」ことがストレスだったそうです。

社会歴

60代女性。趣味は手芸で、人と話すことも好きな明るい性格。
しかし、ここ半年は「顎が動かない」ことが原因で、友人との外食を避けるようになり、人前で笑う機会も減っていたと語られました。
「このまま一生、口が開かないのかと思うと怖かった」と涙ながらに話されました。

口腔内所見(視診)

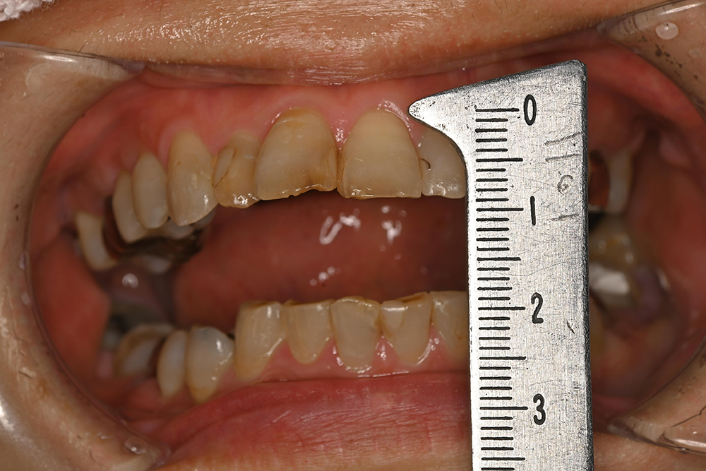
初診時の開口量は約10mm(指1本分)。
下顎の運動制限が著明で、顎関節の滑走運動がほぼ消失していました。
筋肉を触診すると、咬筋・側頭筋の強い緊張と硬結を認め、開口時には顎関節周囲に軽度の痛みがありました。
また、右下7番(奥歯)は深い虫歯で治療が必要でしたが、治療器具が入らないため、まず顎機能の改善が優先されました。

画像所見

パノラマX線およびCT画像では、関節突起の形態は保たれているものの、関節隙の狭小化が確認されました。
骨性癒着(骨が固まって動かない状態)は否定的であり、線維性強直による機能的拘縮と診断。
つまり、手術をせずに動かせる可能性が十分にあるタイプです。

初期評価

診断名:顎関節強直症(線維性)による高度開口障害
最大開口量:10mm → 目標:30mm以上
顎関節そのものは壊れていないため、手術ではなく保存的な開口訓練が第一選択。
「自分の力で口を開けられるようにする」ことを治療の目的としました。

説明と同意のプロセス

初診時、患者さんは「本当に手術しなくて大丈夫ですか?」と不安を口にされました。 そこで、顎関節の構造(骨・関節円板・靭帯)を模型で説明し、「動かすスペースは残っている。少しずつ動かせば、歯を抜かずに治療ができる可能性がある」とお伝えしました。

提示した治療法:
1️⃣ 抜歯+義歯作成(抜歯リスク高・審美性低下)
2️⃣ 顎関節手術(侵襲的・入院必要)
3️⃣ 開口訓練による保存的改善(非侵襲・自宅併用)
患者さんは即座に「訓練で頑張ります」と決意され、毎日の練習を約束して治療をスタートしました。

治療方針の概要

治療名 顎関節強直症に対する保存的開口機能訓練
通院期間 約1ヶ月(2回通院)
費用 初回10,000円、以降1回5,000円
実施内容 顎関節マッサージ(側頭筋・咬筋の緊張緩和)
ストレッチ法(指挿入訓練・タオル介助法)
自宅開口訓練(1日3回/5分)
温罨法(ぬるま湯タオルで血流促進)
筋肉バランス調整(姿勢指導)

メリット:非侵襲的で自宅でも継続可能、口を開けることで抜歯回避・治療方針の変更が可能、生活機能(会話・食事)の改善
デメリット:訓練を中断すると後戻りする、改善には個人差がある

経過(タイムライン形式推奨)

1回目

顎関節マッサージ・開口ストレッチ指導

開口量の変化:10mm

2回目(4週間後)

再評価・姿勢と筋バランス調整

開口量の変化:27mm

初回は恐怖心が強く、指を入れることも困難でした。
しかし、1週間後には「少しずつ開ける感覚がわかってきた」と自信を取り戻し、毎日の訓練を欠かさず続けられました。
1ヶ月後の再診時、開口量は約3倍(27mm)に改善。
歯ブラシも届くようになり、右下奥歯の治療が可能なレベルに達しました。

治療予後

「まさか自分で口を開けられるようになるなんて」と涙を浮かべて喜ばれました。
お食事もスムーズになり、発音もしやすくなったとのこと。
「もう“抜くしかない”なんて言われないと思うと安心しました」と笑顔で話されました。
現在は、奥歯の保存治療を継続中。
再発防止のため、月1回の顎機能メンテナンスを行っています。

まとめ

顎関節強直症の治療では、「動かす前に抜く」「開けられないから治療できない」という悪循環が起きがちです。
しかし、本症例のように骨性癒着がない場合は、保存的リハビリで改善可能です。
開口訓練は地味に見えますが、「自分で治す力を取り戻す」――それがこの治療の真の価値です。
医療者側も、「抜歯」「外科処置」だけでなく、機能訓練という第三の選択肢を持つことが、患者の希望を守る第一歩です。

「“口が開かない”は、治療を諦める理由ではありません。
顎を動かす力を取り戻すことが、歯を守る第一歩です。
私たちは、あなたの“もう一度笑いたい”という願いに全力で寄り添います。」


倫理・個人情報への配慮

掲載にあたり、患者様の明確な同意を得ています。
個人を特定できる情報(氏名・顔貌など)はすべて匿名化しています。

参考

日本顎関節学会「顎関節強直症の診断・治療ガイドライン(2023)」
Clark JR, et al. Temporomandibular Joint Ankylosis: Principles of Management. Oral Maxillofac Surg Clin N Am, 2022.
日本補綴歯科学会「咬合再構成と顎機能訓練の臨床指針」(2024)

【監修】歯科医師 渥美憲人

補綴認定医
患者様の口腔内全体を考えた全顎的な治療をご提供しています。