症例&コラム

1本のインプラントで“食べる幸せ”を取り戻した症例について

1本のインプラントで“食べる幸せ”を取り戻した症例

本当にそんなにインプラントが必要?

今回は渥美歯科医師による、過剰治療を避け、1本のインプラントで“食べる幸せ”を取り戻した症例についてご紹介します。
主訴
  • 食事がとりずらい
  • 一番食事が楽しめる治療を希望
  • 他院だとインプラントの本数が多く、難しいオペをたくさん必要と言われたが本当に必要なのか知りたい。
通院期間・回数
  • 通院回数 5回
    通院期間 5か月
治療内容
  • インプラント治療 ジルコニアインレー
    料金 50万前後
治療のメリット・デメリット
  • メリット:他医院より費用を安くできる、主訴の改善ができる
  • デメリット:一生もつものではない

近年、インプラント治療は一般的になりつつありますが、その一方で「過剰な本数・不要な外科処置」が提案されるケースも少なくありません。
今回の症例は、「食事がしづらくなった」という主訴に対して、他院では“多数のインプラント+骨造成”という大掛かりな治療を勧められた患者さんです。
しかし、渥美先生は「本当にそれが必要か?」という本質的な視点から診断を行い、結果的にインプラント1本と被せ物の再製作のみで、咀嚼機能と満足感を見事に回復させました。
このケースは、“医療は足し算ではなく引き算”
という考え方を体現した、現代歯科医療の理想形です。

患者様のお悩み

「食事がとりづらいです。一番、食事を楽しめる治療をお願いしたいです。」とのお悩みでご来院されました。
医療的要約:上顎臼歯部の欠損および不良補綴物による咀嚼障害。
生活の質(QOL)低下を主訴とする機能的障害。

現病歴

患者さん(50代・男性)は、ここ数年「食事中にしっかり噛めない」「左側で噛むと痛む」と感じていました。
次第に硬い食べ物を避けるようになり、食事時間がストレスに。「食べる楽しみ」が減ってしまったことが何より辛かったそうです。
他院を受診したところ、「上顎の奥歯が弱っているので、3〜4本のインプラントが必要」「骨が足りないからサイナスリフト(上顎洞底挙上術)をしよう」と提案を受けました。
治療費は200万円以上。期間も1年以上。
患者さんは「そこまで大がかりにしないと食べられないのか…?」と疑問を感じ、セカンドオピニオンとして渥美先生を訪ねました。
この時点での表情は、どこか「歯医者に振り回されてきた」という疲れを感じさせるものでした。

既往歴・服薬・アレルギー

全身疾患:なし
常用薬:なし
アレルギー:特になし
生活習慣:非喫煙、飲酒少量
全身的にも健康で、外科処置のリスクは低い状態でした。

歯科既往・メインテナンス履歴・歯科恐怖の有無

以前に複数回の虫歯治療を受けており、金属の被せ物が数本ありました。
メンテナンスは年に1回程度で、特に不安が強いタイプではありませんが、「不必要な治療をされるのでは」という“医療不信”が少し見られました。
そのため、渥美先生は「必要なもの・不要なものを明確に伝える」ことを最重視して説明を行いました。

社会歴

営業職で外食が多く、会食の場で食事を楽しめないことがストレスになっていました。
特に「ステーキや焼き魚など、食感を楽しむ料理を噛み切れない」と感じており、“食べることの満足感”の低下が心理的な落ち込みにもつながっていました。

口腔内所見(視診)


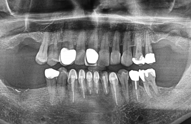
左上第1大臼歯(#26)欠損。
隣接歯の金属冠(#25)が摩耗・適合不良で、咬合高径がやや低下。
右側でばかり噛む習慣が形成されており、咀嚼バランスが崩れていました。
歯ぐきの炎症は軽度。歯列全体の清掃状態は概ね良好でした。

画像所見


CTにて、欠損部の骨幅・骨高ともに十分。
上顎洞までの距離にも余裕があり、骨造成(サイナスリフト)は不要と判断。
骨密度も良好で、1本のインプラントで十分な支持が得られる条件が整っていました。

初期評価

診断名:上顎臼歯部欠損による咀嚼障害
咬合支持の喪失による偏咀嚼と咬合不調
治療目的:最小限の外科処置で咀嚼機能とQOLを回復する

説明と同意のプロセス

カウンセリングでは、患者さんに3つの治療パターンを比較提示しました。

治療法 多本インプラント+骨造成(他院案) 部分入れ歯 インプラント1本+被せ物再製作(渥美案)
特徴 外科的に強固な支持を獲得 短期間・安価 最小限で十分な機能回復
治療期間 約2ヶ月 約1年 約3ヶ月
概算費用 約200万円 約15万円 約50万円前後
メリット・デメリット 安定性◎/侵襲・費用大 違和感・脱着の手間あり 侵襲少・自然な咬合回復

多本インプラント+骨造成(他院案)

特徴 外科的に強固な支持を獲得
治療期間 約2ヶ月
概算費用 約200万円
メリット・デメリット 安定性◎/侵襲・費用大

部分入れ歯

特徴 短期間・安価
治療期間 約1年
概算費用 約15万円
メリット・デメリット 違和感・脱着の手間あり

インプラント1本+被せ物再製作(渥美案)

特徴 最小限で十分な機能回復
治療期間 約3ヶ月
概算費用 約50万円前後
メリット・デメリット 侵襲少・自然な咬合回復

渥美先生はCTを見せながら、「この骨の厚みがあれば、1本でしっかり噛める」と説明。
過剰な外科手術の必要がないことを丁寧に解説しました。
患者さんは「ようやく納得できた」「これなら自分にもできそう」と安堵の表情に。

治療方針の概要

上顎臼歯部にインプラント1本埋入
隣在歯(#25)の金属冠を除去し、ジルコニアインレーで再修復
咬合調整を行い、左右バランスを再構築
骨造成・歯肉移植などの外科的介入は行わない
治療期間:3ヶ月
通院回数:5回
→ 「必要な部分だけ治す」ミニマル・リストレーションを実践。

経過(タイムライン形式推奨)

初診日

CT撮影・カウンセリング・治療計画説明

骨量十分。インプラント1本で設計決定。

手術当日

インプラント埋入(局所麻酔下)

初期固定トルク35Ncm。術後疼痛少。

2週間後

消毒・仮歯調整

歯肉の治癒良好。咬合・発音に問題なし。

2ヶ月後

治癒確認・仮歯装着

インプラント安定。咀嚼試験で違和感なし。

3ヶ月後

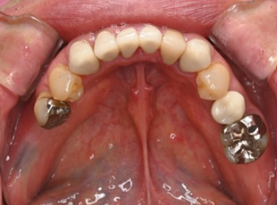
ジルコニアインレー装着と最終クラウン装着を同時におこなった。咬合調整

機能・審美ともに良好で治療完了

隣在歯の形態回復により、咬合安定。

治療予後


治療期間:3ヶ月
通院回数:5回(抜糸含む)
患者さんは「左右どちらでも噛めるようになり、食事が楽しくなった」と笑顔で報告。
硬いものも安心して噛めるようになり、「お肉が美味しく感じる」との感想が印象的でした。
治療後は3ヶ月ごとのメインテナンスを継続中です。

まとめ

この症例は、「必要最小限の治療こそ、最良の医療」という理念を実証しています。
多数のインプラント治療を提案されるケースの多くは、“骨量が少ない=多数埋入”という固定観念に基づいていますが、実際には咬合設計・隣在歯の活用・力の分散を見極めることで、1本でも十分な咀嚼安定を得ることが可能です。
渥美先生は次のように語っています。
「インプラントは“数”ではなく、“設計”です。
患者さんの生活の中でどこまで回復すべきかを明確にすることが、真の医療判断だと思っています。」
また、金属冠をジルコニアに置換することで審美性と清掃性が向上し、咬合関係の修復、全体の口腔内環境も改善しました。
このように、「必要なところに、必要なだけ」という判断が、患者の安心と満足を両立させた成功要因です。

倫理・個人情報への配慮

本症例は患者様の同意を得て匿名化・編集し、個人が特定される情報は含んでいません。
教育・啓発を目的として構成しています。

参考

日本口腔インプラント学会:「インプラント治療ガイドライン2024」
Buser D, Belser U. Implant Therapy in the Esthetic Zone: Clinical Essentials.
Misch CE. Contemporary Implant Dentistry.
Pjetursson BE et al., Clin Oral Implants Res. 2018;29 Suppl 16:240–258.

【監修】歯科医師 渥美憲人

補綴認定医
患者様の口腔内全体を考えた全顎的な治療をご提供しています。